SulawesiPos.com – Tingginya jumlah kasus tuberkulosis (TBC) menjadikan Kota Makassar sebagai salah satu wilayah prioritas nasional dalam program penanganan penyakit menular yang digenjot Kementerian Kesehatan.
Makassar masuk dalam daftar delapan wilayah dengan beban kasus TBC tertinggi di Indonesia bersama provinsi Jawa Barat, Jawa Tengah, Jawa Timur, Banten, DKI Jakarta, Sumatera Utara, dan Nusa Tenggara Timur.
Kondisi tersebut membuat intervensi penanganan TBC di kota ini mendapat perhatian khusus dari pemerintah pusat.
Berdasarkan data tahun 2025, sebanyak 9.885 kasus TBC di Makassar tercatat telah mendapatkan pengobatan.
Namun, angka tersebut dinilai belum mencerminkan kondisi sebenarnya karena potensi penularan di lingkungan keluarga masih cukup besar.
“Kalau ada 9.885 kasus, berarti ada hampir 9.800 rumah yang harus dikunjungi,” ujar Wakil Menteri Kesehatan Benyamin Paulus Octavianus kepada wartawan usai meninjau Puskesmas Ballaparang, Kecamatan Rappocini, Selasa (13/1/2026).
Setiap rumah pasien akan menjadi sasaran pemeriksaan lanjutan.
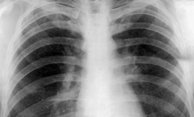
Seluruh anggota keluarga penderita TBC akan disaring, tidak hanya untuk TBC, tetapi juga untuk penyakit penyerta seperti diabetes dan hipertensi melalui pemeriksaan gula darah, tekanan darah, hingga rontgen.
Untuk mendukung upaya tersebut, Kementerian Kesehatan menyiapkan rontgen portabel di wilayah prioritas, termasuk Kota Makassar.

